Research Areas
The P. K. Shah Laboratory has identified a number of novel genes such as tenascin C, pleiotrophin (PTN), GATA3 and KLF14 that have potential implications for inflammation, atherosclerosis and obesity-metabolic syndrome. We are currently evaluating their role in murine models of atherosclerosis, myocardial infarction, left ventricular remodeling and obesity.

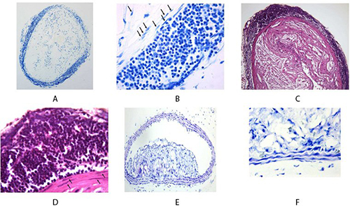
Deletion of TNC gene in apo E−/− mice promotes adventitial accumulation of mast cells. The two mouse genotypes were fed an atherogenic diet for 24–28 weeks (10 mice genotype). The aorta including the periadventitia tissue around the aorta was used for paraffin embedding. Two staining methods were used to stain mast cells in the paraffin-embedded sections of the double KO mice: toluidine blue (panel A at 10× magnification and panel B at 40× magnification) and chloroacetate esterase (Panels C at 10× magnification and D at 40× magnification). Panels E and F show an aortic section from the control apo E−/− mice on high fat diet for 24–28 weeks that is stained with toluidine blue at 10× and 40 × magnifications, respectively. The 40× shows magnification of base of the plaque.
© 2015 Elsevier Inc. http://www.atherosclerosis-journal.com
Atherosclerosis is the leading cause of cardiovascular disease and death in men and women. The ultimate goal of our experimental studies is to develop novel therapies for this highly prevalent disease, which can then be tested in clinical trials. In that regard, the P. K. Shah Lab has developed two novel biologic therapies with the potential for revolutionizing the management of cardiovascular disease. The first involved the development of ApoA-1 Milano, a naturally occurring mutant of apolipoprotein A-1, with gain-of-function properties as a therapy to stabilize and reverse atherosclerosis using either infusion therapy or gene transfer. The infusion of ApoA-1 Milano is undergoing clinical testing at the present time.
The second major development involves the use of human ApoB-100-related antigens as vaccines to reduce atherosclerosis and vascular inflammation, aortic aneurysm rupture and hypertension. This approach is at a preclinical stage with the hope of moving into clinical testing in the near future.
The P. K. Shah Laboratory is also conducting clinical trials involving experimental non-statin cholesterol-lowering agents called PCSK9 inhibitors in patients with high cholesterol levels and statin intolerance.

Representative macrophage immunoreactivity in the innominate artery lesions of mice are shown (A to C) and are presented as quantitative data (D). The macrophage immunoreactive area was significantly lower in recipients of apolipoprotein A-I Milano (A-IM) compared with vector controls (VC) or recipients of wild-type apolipoprotein A-I (A-I).
© 2015 Elsevier Inc. http://www.atherosclerosis-journal.com
Contact the Shah Lab
127 S. San Vicente Blvd.
Advanced Health Sciences Pavilion, 9th Floor
Los Angeles, CA 90048