September 2024 Case
Clinical History
Patient in late 70’s with over 20 years of history of chronic immune thrombocytopenic purpura (ITP), remote history of splenectomy, and multiple myeloma diagnosed few years ago. Currently, patient was presented to the emergency department with a fever and three-day history of altered mental status.
In 2018 a monoclonal gammopathy of unknown significance (MGUS) was detected, and subsequently was diagnosed with multiple myeloma few years ago. Patient’s initial treatment included lenalidomide (Revlimid), bortezomib (Velcade), and dexamethasone. As a presumed side effect of lenalidomide patient experienced severe skin rash and treatment was switched to daratumumab, carfilzomib, and dexamethasone. The patient received four cycles of carfilzomib, dexamethasone, and daratumumab, followed by one cycle of single agent daratumumab. Patient achieved clinical remission in two years ago, followed by unremarkable M-protein surveillance since.
However, the patient continued to struggle with severe ITP which was refractory to multiple therapies. High-dose dexamethasone, rituximab, Promacta (eltrombopag), Nplat (romiplostim), and Tavilesse (fostamatinib), were unsuccessful. Platelet transfusion provided only transient relief for a few hours. In the past, patient experienced intermittent benefit with IVIG 1 g/kg weekly. At the time of admission, the patient’s ITP was managed with an immunosuppressive regimen including mycophenolate mofetil (750 mg PO BID), cyclosporine (50mg PO BID), and azathioprine (50mg PO BID). In the year prior to admission, patient’s platelet levels fluctuated from 3000 to 90,000 per UL, being highest around the time of hospitalization.
The patient was functioning independently until last appointment with oncologist (December 2023), where a degree of confusion, agitation, and fever of 101F was recognized. Head CT showed a mass-like area of hypoattenuation with a hypoattenuating rim within the right temporal lobe, with surrounding vasogenic edema and effacement of sulci, concerning for malignant neoplastic process or abscess. The patient was subsequently transferred to Cedars-Sinai for a higher level of care.
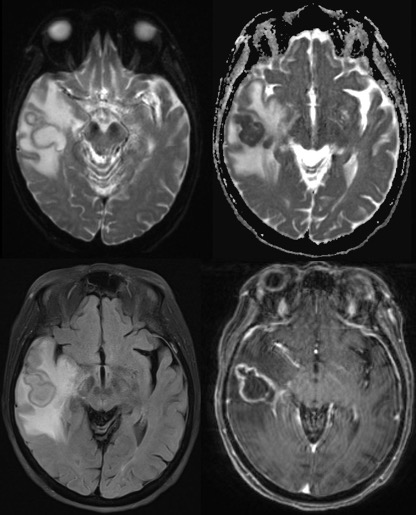
Here, given the immunosuppressed state and the clinical suspicion for infection, the patient’s immunosuppressive medications were paused. Pre-operative MRI (see Fig 1). showed a 3.7 x 2.3 x 2.3 cm right temporal lesion with surrounding edema, regional mass effect with local sulcal effacement. Trace DW images showed a hyperintensity with low ADC indicating restricted diffusion, consistent with an abscess.

Figure 1. DWI, ADC, FLAIR and T1-post gadolinium MRI prior to the surgery showing right temporal lesion.
Excisional biopsy procured 3.5 x 2.9 x 0.9 cm fragment of yellow white soft tissue.
Pathological Findings
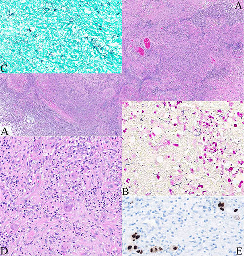
Microscopy revealed extensively necrotizing abscess-like lesion (Fig. 2A) associated with rare Gram positive (Fig 2 B) and weakly GMS positive (Fig 2 C) but AFB negative branching filamentous bacteria, compatible with Nocardia. Additionally, numerous predominantly vascular and perivascular cells containing prominent intranuclear inclusions with cytoplasmic purple granular deposits, consistent with viral "factories," were identified (see Fig 2D). These cells stained positive for Cytomegalovirus on immunohistochemistry (Fig 2 E).

Figure 2. Hematoxylin and eosin (A, D), Gram (B), Grocott's methenamine silver stain (C) and CMV immunostain (D) of the brain lesion. Original magnifications: 100 x (A), 400 x (B & D), 200 x (C & E).
Tissue culture grew gram positive rods, eventually subclassified as Nocardia nova. Together, the findings supported a diagnosis of Nocardia brain abscess in the setting of concurrent CMV encephalitis.
Treatment and Outcome
Given the presence of brain abscess with gram-positive filamentous bacteria a treatment with cefepime (2000mg IV q12h), vancomycin (750mg IV q24h), and metronidazole (500mg IV q24h) was initiated. Once cultures identified Nocardia nova as a sole organism, the treatment was changed to meropenem and trimethoprim-sulfamethoxazole (5 mg/kg q6h). Additionally, IV ganciclovir (5 mg/kg q12h) followed by oral valganciclovir (450 mg PO daily) were used to treat CMV encephalitis.
Patient remained somnolent post-operatively which improved with treatment of intracranial infection. When patient became more alert patient developed an agitation considered to be secondary to toxic metabolic encephalopathy. Patient then developed acute hypoxic respiratory failure requiring brief ICU admission and intubation due to aspiration pneumonia and volume overload. With minimal oral intake due to altered mental status, PEG tube was placed for long term nutritional management. Once antiviral treatment was complete, approximately one month after admission, the patient’s CMV DNA on PCR fell to an undetectable level. The patient was placed on a 9–12-month course of IV ceftriaxone and TMP-SMX. Patient was discharged home after three months in the hospital. At the most recent follow-up appointment, the patient showed significant improvement. Repeat brain MRI revealed no residual or recurrent abscess. The patient did not restart immunosuppressive medications after discharge and platelet count has ranged from 155,000 to 348,000 within the past five months.
Discussion
Immune thrombocytopenic purpura, also known as idiopathic thrombocytopenia purpura, is an acquired thrombocytopenia caused by the development of autoantibodies against platelet antigens (1). Immunosuppression in patients with immune thrombocytopenic purpura (ITP) is critical when first-line treatments, such as corticosteroids or intravenous immunoglobulin, fail to achieve adequate control of platelet counts (1). However, prolonged use of immunosuppressive medications is associated with significant side effects, including osteoporosis, hypertension, and increased risk of infection, which necessitates careful management and monitoring. Both Nocardiosis and CMV encephalitis represent serious complications of immunosuppressive therapy (2,3).
Cytomegalovirus (CMV) encephalitis in immunocompromised patients is a severe and often life-threatening condition. Seroprevalence of past infection with CMV ranges from 40 to 100 percent in the adult population (4). Viral reactivation of CMV can occur, especially in the setting of immunosuppression.
Nocardia is a gram-positive branching filamentous bacterium that can manifest with central nervous system complications in immunocompromised individuals (5). Nocardiosis accounts for approximately 2% of cerebral abscesses and carries the highest mortality rate among bacterial brain abscesses (2-3,8). Treatment consists of both surgical management including drainage/excision, histologic examination of the abscess for definite bacterial characterization, and long-term antibiotic therapy (6-7, 9).
In the present case, histologic analysis and microbiological studies revealed a surprising co-infection that was promptly treated with antibiotics and antiviral agents. Early and accurate diagnosis is critical because these infections can lead to severe complications if not promptly managed. The differential diagnosis often includes other intracranial lesions such as tumors or metastases, which requires careful consideration given the complex clinical picture in immunocompromised patients.
References
- Al-Samkari H, Kuter DJ. Immune Thrombocytopenia in Adults: Modern Approaches to Diagnosis and Treatment. Semin Thromb Hemost. 2020 Apr;46(3):275-288. doi: 10.1055/s-0039-1700512. Epub 2019 Dec 12. PMID: 31830764.
- Zakaria A, Elwatidy S, Elgamal E. Nocardia brain abscess: severe CNS infection that needs aggressive management; case report. Acta Neurochir (Wien). 2009;150 (10): 1097-101. doi:10.1007/s00701-008-0026-2 - Pubmed citation
- Chedid MB, Chedid MF, Porto NS et-al. Nocardial infections: report of 22 cases. Rev. Inst. Med. Trop. Sao Paulo. 2008;49 (4): 239-46. Pubmed citation
- Krech U. Complement-fixing antibodies against cytomegalovirus in different parts of the world. Bull World Health Organ 1973; 49:103.
- Nocardia brain abscess: a sinister aetiology | Postgraduate Medical Journal | Oxford Academic (oup.com)
- Mamelak AN, Obana WG, Flaherty JF, Rosenblum ML. Nocardial brain abscess treatment strategies and factors influencing outcome. Neurosurgery 1994; 35:622–31.
- Radhakrishnan DM, Goyal V, and Shukla G. Nocardia: a rare cause of brain abscess. QJM: An International Journal of Medicine, Volume 111, Issue 8, August 2018, Pages 561–562, https://doi.org/10.1093/qjmed/hcy073
- Ambrosioni J, Lew D, Garbino J. Nocardiosis: updated clinical review and experience at a tertiary center. Infection 2010; 38:89–97.
- Valarezo J, Cohen JE, Valarezo L, Spektor S, Shoshan Y, Rosenthal G, et al. Nocardial cerebral abscess: report of three cases and review of current neurosurgical management. Neurol Res 2003; 25:27–30.