September 2022
Clinical History
The patient is a female in her 40's with a 3-month history of left cheek mass with no numbness or facial weakness. She received intralesional corticosteroid and antibiotic injection with no significant improvement. Physical examination showed a 1.5 cm mass in the left buccal space with overlying erythematous indurated skin, extending to deeper tissue with no intraoral mucosal involvement (Fig. 1).
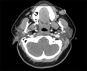
Imaging revealed a 17 mm FDG-avid well-circumscribed oval soft tissue nodule in the left buccal space within the subcutaneous soft tissues extending to the skin surface located lateral/superficial to the parotid duct suggestive of a salivary gland tumor (Fig. 2).

Fig 1

Fig 2
Fine needle aspiration of the mass revealed scattered aggregates of markedly atypical basaloid squamous cells with brisk mitosis in a background of necrosis morphologically meeting the cytologic diagnostic criteria for squamous cell carcinoma. The cells showed P40 positivity with focal and patchy P16 immunoreactivity. But negative for high-risk HPV and androgen receptor immunostaining (Fig. 3A-3E).

Fig 3A: FNA

Fig 3B: P40

Fig 3C: P16

Fig 3D: HR-HPV

Fig 3E: AR
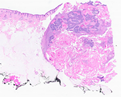
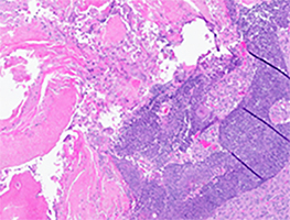
Subsequently she underwent left cheek wide local excision with left superficial parotidectomy, left neck dissection and left cervicofacial rotational flap. Gross examination revealed a discoid skin excision measuring 3.2 x 3.4 cm in surface with an excisional depth of 1.4 cm. Cut sections revealed a 1.6 x 1.6 x 0.7 cm centrally located tan, granular, semi-firm nodule abutting the deep margin (Fig. 4). Microscopic examination demonstrated a well circumscribed intradermal/ subcutaneous nodule with a thin fibrous capsule composed of peripherally located basaloid cells surrounding central collections of eosinophilic and shadow cells with numerous foreign body type giant cells consistent with pilomatricoma (Fig. 5A-5B)

Fig 4

Fig 5A. x4

Fig 5B. x20
Discussion
Pilomatricoma, also known as calcifying epithelioma of Malherbe, is a relatively common benign cutaneous adnexal neoplasm with differentiation towards the hair matrix, inner sheath of the hair follicle and hair cortex. Pilomatricoma is a hard-nodular lesion that located in the head and neck or upper extremities of children and young adults. It forms an asymptomatic solitary mass and shows a slow-growing course. Histologically, pilomatricoma forms a well-circumscribed nodule and localizes from the dermis to subcutaneous fat tissue. Tumor cells consist of hair matrix-like cells (matrical or basophilic cells) that are basophilic-stained and shadow cells (ghost cells) that are eosinophilic-stained with nuclear concentration and disappearance [1]. the lesion may show avidity for fludeoxyglucose (FDG) on positron emission tomography/computed tomography (PET/CT) scan, raising concerns of a possible malignant neoplasm [2]. Although the histopathological findings are well recognized and characteristic, but diagnosis by fine-needle aspiration biopsy (FNA) may be quite challenging. In a retrospective analysis, Woyke et al. first described the cytological features of pilomatricoma in six cases, four of which were misdiagnosed as malignant tumors. Since then, several reports, mostly short series, and isolated cases have emphasized the difficulty in cytodiagnosis of pilomatricoma, which may lead to a false positive diagnosis [2]. Findings of ghost cells and a monomorphic population of basaloid cells are pathognomonic for pilomatricoma. However, the limited sample from FNA can result in a predominance of basaloid cells, which can easily be mistaken for basal cell carcinoma or basaloid squamous cell carcinoma. Given the high rate of misdiagnosis of pilomatricoma with FNA, most investigators agree that the diagnostic effectiveness of FNA is variable and depends heavily on the experience of the pathologist and overall clinical suspicion [3]. However, the presence of basaloid cells surrounded by a delicate acidophilic fibrillar substance, ghost cells, calcium deposits and giant cells will allow a conclusive diagnosis of pilomatricoma by FNA. A location in the neck, upper extremities, or head, as well as a long clinical history of a firm tumor in a young adult, should also suggest this diagnosis [4]. CTNNB1 mutation seems to be present in almost all cases of pilomatricomas. The protein encoded by CTNNB1, β-catenin, is also frequently detected by immunostaining, but conflicting results have been reported. Immunohistochemistry can be particularly helpful in limited biopsy specimens, including cell blocks obtained by FNA, especially in difficult cases; for example, β-catenin is expressed in pilomatrixoma, but not in basal cell carcinoma, squamous carcinoma, small cell carcinoma, pilomatrical carcinoma and other entities with similar morphology [2]. On FNA cytology, it is almost impossible to identify pilomatricoma based on the cytological findings of basophilic cells alone. Therefore, it is extremely important to make note of the existence of shadow cells to ensure the accurate cytological diagnosis of pilomatricoma. Cytopathologists must be aware of the diagnostic pitfalls associated with this tumor [1].
References
- Kurose, N., Yamashita, M., Nakano, et al. Cytopathological findings of proliferating pilomatricoma misdiagnosed as a malignant parotid gland tumor. Diagn Pathol 13, 65 (2018).
- Mitteldorf, Cristina Aparecida Troques da Silveira et al. “Novel Mutations in Pilomatrixoma, CTNNB1 p.s45F, and FGFR2 p.s252L: A Report of Three Cases Diagnosed by Fine-Needle Aspiration Biopsy, with Review of the Literature.” Case reports in genetics vol. 2020 8831006. 29 Aug. 2020, doi:10.1155/2020/8831006
- Bax, Daniel et al. “Pilomatricoma of the scalp mimicking poorly differentiated cutaneous carcinoma on positron emission tomography/computed tomography (PET/CT) scan and fine-needle aspiration (FNA) cytology.” JAAD case reports vol. 4,5 446-448. 30 Apr. 2018, doi:10.1016/j.jdcr.2017.12.006
- Viero, R M et al. “Fine needle aspiration (FNA) cytology of pilomatrixoma: report of 14 cases and review of the literature.” Cytopathology : official journal of the British Society for Clinical Cytology vol. 10,4 (1999): 263-9. doi:10.1046/j.1365-2303.1999.00188.x