October 2021 Case
Clinical History
A female in her 50’s with a medical history significant for HIV, osteoarthritis, and hypertension presented to the emergency room complaining of diffuse abdominal pain and fatigue. She states that over the last few months she has felt progressively more fatigued when climbing stairs and decided to come to the emergency room after she became exceptionally short of breath when bending over.
On admission, the patient had noticeable pallor with weak peripheral pulses. A complete blood count revealed a hemoglobin of 4.5 g/dL and she was immediately transfused two units of blood. Her chest and abdominal radiographs were normal with no evidence of hemorrhage. All additional lab results were within normal limits. HIV viral load was undetectable. Soon after transfusion, the nursing staff noted melena and she was scheduled for a CT. The CT showed mass-like thickening of the greater curvature of the stomach, an expansile lesion in the manubrium, as well as lytic disease in the spine, pelvis, and ribs. At endoscopy, a polypoid, erythematous mass was noted in the proximal stomach. Biopsies of the mass and background gastric mucosa were sent to pathology for evaluation.
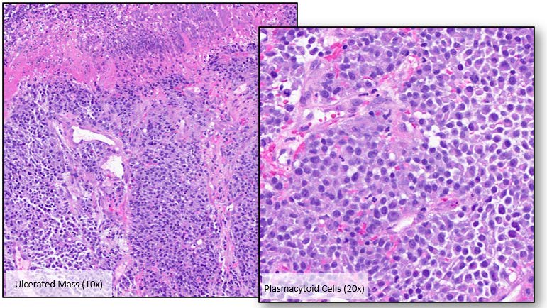
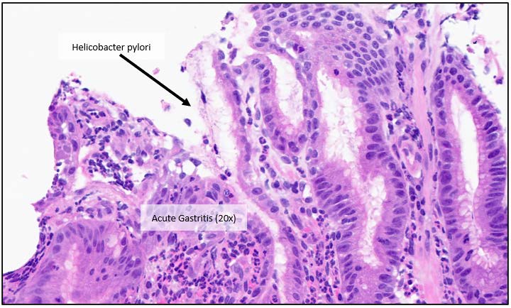
Biopsies demonstrated an ulcerated and possibly infiltrative process occupying the gastric mucosa and submucosa. The mass consisted of sheets of pleomorphic plasmacytoid cells with evident mitotic activity (Figure 1). Biopsies of the background gastric mucosa were significant for Helicobacter gastritis (Figure 2).

Figure 1: Mass

Figure 2: Background Gastritis
Given the wide differential for a discrete plasmacytoid-appearing neoplasm in the stomach, an initial panel consisting of pancytokeratin, CD3, CD20, CD138, synaptophysin, chromogranin, CDX2, TTF-1, GATA-3, and PAX-8 was ordered. Immunohistochemistry results were diffusely positive for pancytokeratins (Figure 3), CD138 and Kappa (Figure 4). CD3 highlighted few reactive T-cells. CD20 was negative. All other site-specific epithelial markers and melanoma immunohistochemistry was negative.

Figure 3: Pancytokeratin Expression

Figure 4: CD138 and Kappa Expression
The aberrant staining pattern prompted a soft tissue and hemepath intradepartmental consultation. After ruling out sarcoma, marginal zone lymphoma, plasmablastic lymphoma, EBV-related plasma cell neoplasms, and HHV-8-associated malignancies, the final diagnosis was a plasma cell neoplasm. A subsequent electrophoresis and serum immunofixation (IFE) of peripheral blood recapitulated the biopsy findings with further characterization, showing an M-spike of 0.4 g/dL that IFE characterized as a
kappa-restricted IgA monoclonal band. The results of the biopsy and serum IFE suggested the patient may have a monoclonal gammopathy of uncertain significance (MGUS), but a bone marrow biopsy interestingly failed to show any plasma cell neoplasm. Taken together, the findings suggest that the patient's gastric neoplasm was an extramedullary plasmacytoma.
Discussion
Cytokeratins (CK) are a complex family of 20 related intermediate filament proteins expressed in epithelial cells. In normal human tissues, they help maintain cytoskeletal structure and withstand mechanical stress. CKs are differentially present in different tissues during various stages of development. Each of the CKs has a varied molecular weight from 40-67 kD and has a specific pH. The Moll Catalog numbers CKs from highest molecular weight to lowest (CK1-CK20). Type I CKs are acidic and consist of CK9 through CK20. CK1-CK8 are Type II CKs and are basic (Table 1) [1].

Table 1: Cytokeratin (CK) Organization Chart
For primary tumors, immunochemical expression of keratin is used to characterize epithelial differentiation in the diagnosis of malignant carcinomas. Similarly, detection of keratin-positive cells in peripheral blood [2], bone marrow, and lymph nodes is used to demonstrate metastatic disease of epithelial carcinomas. A pan-cytokeratin antibody is constructed to react with epitopes on multiple different molecular weight cytokeratins; whereas, an "AE1/AE3" pancytokeratin cocktail detects CK1-CK8, CK10, CK14-CK16, and CK19.
In the setting of a tumor of unknown origin, an immunohistochemical panel that includes pancytokeratin is employed to determine if the tumor is epithelial in origin. Although cytokeratin expression is a known pitfall in melanoma and sarcoma, cytokeratin is not expressed in any normal myeloid or lymphoid cells [3]. Therefore, the reported case demonstrates how AE1/AE3 positivity is a seemingly contradictory finding in a heme-related malignancy. Table 2 lists a few tumors vascular, neural, and mesenchymal origin that are reported to have CK staining [4], note the lack of hematologic malignancies.

Table 2: Cytokeratin Staining in Non-Epithelial Tumors
Despite this, large scale microarrays have reported that up to 1.5% of hematologic neoplasms may express cytokeratins. Individual case reports highlight these anomalies and detail keratin expression in acute myeloid leukemia [6], B-cell lymphoma [7], anaplastic large cell lymphoma [8], and primary polymorphic centroblastic lymphoma [9]. The most frequently reported hematologic malignancy to stain with pancytokeratins are plasmacytomas [10].
Extramedullary plasmacytomas are rare with an incidence of 2-5% among plasma cell neoplasms [11]. In the GI tract they are exceptionally are relatively rare entities [12-14]. It is even rarer for plasmacytomas to significantly bleed [15-16]. Therefore, this case is exceptionally challenging for many reasons. Firstly, many primary and metastatic carcinomas may take on a plasmacytoid appearance. The presence of keratin staining makes a carcinoma more likely, but this is clearly not always the case. Secondly, an extramedullary plasmacytoma is a rare entity, presenting a rare fashion with hemorrhage, in a rare location: the GI tract. Overall, this case highlights how care needs to be applied when interpreting immunohistochemistry. The presence or absence of a "typical" staining pattern does not always apply.
References
- Adapted from: Rekhtman, N., & Bishop, J. A. (2011). Quick reference handbook for surgical pathologists. Chapter 1 Immunostains: Introduction. Page 4. Springer.
- A Daskalaki, S Agelaki, M Perraki et al. Detection of cytokeratin-19 mRNA-positive cells in the peripheral blood and bone marrow of patients with operable breast cancer. British Journal of Cancer. 2009;101:589-97
- Traweek ST, Liu J, Battifora H. Keratin gene expression in nonepithelial tissues. Detection with polymerase chain reaction. Am J Pathol 1993;142:1111–8
- Adapted from: Nat Pernick. Stains and CD Markers: Cytokeratin AE1/AE3. PathologyOutlines, Inc. https://www.pathologyoutlines.com/topic/stainsae1ae3.html. Accessed 10/3/2021
- Adams H, Schmid P, Dirnhofer S, et al. Cytokeratin expression in hematological neoplasms: A tissue microarray study on 866 lymphoma and leukemia cases. Pathology 2008;204:569-73.
- Turner JJ, Milliken S. A case of keratin-positive acute myeloid leukemia: a possible role for cytokeratin 19 as a specific epithelial marker. Pathology 2000;32(2):98-101
- Ameri MD, DeNicola M, Fatizadeh P, et al. Keratin Staining in Lymphoma: A Potential Diagnostic Pitfall. AJCP 2005;144(2):123
- Zhang Q, Ming J, Zhang S, et al. Cytokeratin positivity in anaplastic large cell lymphoma: a potential diagnostic pitfall in misdiagnosis of metastatic carcinoma. Int J Clin Exp Pathol. 2013;6(4):798-801
- Donner LR, Mott FE, Tafur I. Cytokeratin-Positive, CD45-Negative Primary Centroblastic Lymphoma of the Adrenal Gland. Arch Pathol Lab Med 2001;135:1104-6
- Gulati R, Jamal M, Inamdar K, et al. Cytokeratin Expression in Plasmacytomas: A Comprehensive Analysis Using Cytokeratin Cocktails. AJCP 2015;144(2):148.
- Valliani S, Barakat M, Gill Harinder, et al. Clinicopathologic Profile of Extramedullary Plasmacytoma in Central Valley. JCO 2020:38;15:20551
- Makis W, Ciarallo A, Hickeson M, et al. Gastric recurrence of a primary colon plasmacytoma: staging and evaluating response to therapy with 18F-FDG PET/CT. Br J Radiol 2012;85(1009):4-9
- Kodani T, Osada T, Terai T, et al. Successful endoscopic mucosal resection of a solitary extramedullary plasmacytoma in the sigmoid colon. Endoscopy. 2011; 43:298-9
- Kakati BR, Krishna K, Krishna SG, et al. Extensive extramedullary disease involving the colon in multiple myeloma: a case report and review of literature. J Gastrointest Cancer. 2012;43:379-81
- Pacheco DC, de Solórzano MM, Lázaro EQ, et al. Extramedullary plasmacytoma of the colon: a rare cause of gastrointestinal bleeding. Endoscopy. 2009; 41:E306-7
- Suvannasankha A, Abonour R, Cummings OW, et al. Gastrointestinal plasmacytoma presenting as gastrointestinal bleeding. Clin Lymphoma Myeloma. 2008;8:309-11