October 2023 Case
Background
About 1 in 8 women in the US are diagnosed with invasive breast cancer in their lifetime1. The incidence of breast cancer increases with age1. There are many treatment options for breast cancer depending on the tumor characteristics and stage at diagnosis. The prognosis of invasive breast cancer depends on the stage of the patient. Early breast cancers have a 100% 5-year survival rate, while stage IV breast cancer has a 22% 5-year survival rate1.
Clinical History
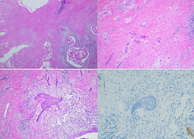
A woman in her 60s presented for a palpable mass in her left breast. She underwent a lumpectomy and excision of three axillary lymph nodes. X-ray of the specimen showed no evidence of calcifications. Histologic analysis of the specimen showed an infiltrative carcinoma with both glandular and squamous components (Figure 1). The lesional cells were negative for ER, PR, and HER2 immunohistochemistry. The diagnosis of low-grade adenosquamous carcinoma was made.

Figure 1. Low-grade adenosquamous carcinoma. Infiltrative glands and squamous cells (top left). Infiltrative glands (top right). Infiltrative squamous cells (bottom left). Immunohistochemistry for ER showing negative staining (PR and HER2 are also negative) (bottom right).
Discussion
There are many types of breast cancer ranging in proportion, with invasive ductal carcinoma and invasive lobular carcinoma being most common. There is a rare subgroup of mammary carcinoma without equivocal epithelial morphology or glandular growth pattern termed metaplastic carcinoma2. Less than 1% of all breast carcinomas are metaplastic carcinoma2. There are many morphologic variants of metaplastic carcinoma such as metaplastic squamous carcinoma, metaplastic spindle cell carcinoma, fibromatosis-like spindle cell carcinoma, low-grade adenosquamous carcinoma, among others. Subclassification of the metaplastic component of the carcinoma is challenging but can be important in prognostication3.
Metaplastic carcinoma is a rare breast carcinoma with low-grade adenosquamous carcinoma (LGASC) being an uncommon variant of metaplastic mammary carcinoma3,4. Compiled series of LGASC has shown that these tumors occur in women aged 31 to 88 with a mean age of 56 to 70 years5. Initially these tumors were reported as syringomatous tumor, but the name was later changed to LGASC.
LGASC is an infiltrative carcinoma characterized by combined glandular and squamous differentiation, often resembling a tubular carcinoma with admixed nests/cords of squamous cells3,6. Most cases of LGASC have shown to be triple negative for hormone receptors and HER24,5,6. By definition, these tumors are low grade and studies have shown that LGASC has a favorable prognosis when compared to other metaplastic mammary carcinoma variants, which typically are aggressive with poor clinical outcomes3,5. LGASC rarely has nodal or distant metastasis but does commonly recur locally7. The treatment for LGASC is not widely agreed upon ranging from local excision to wide excision7.
References
- Alkabban FM, Ferguson T. Breast Cancer. [Updated 2022 Sep 26]. In: StatPearls [Internet]. Treasure Island (FL): StatPearls Publishing; 2023 Jan-.
- Hoda SAF Koerner FC Brogi E Rosen PP. Rosen's Breast Pathology. 5. ed. Philadelphia: Wolters Kluwer; 2021.
- Rosen PP, Ernsberger D. Low-grade adenosquamous carcinoma. A variant of metaplastic mammary carcinoma. Am J Surg Pathol. 1987 May;11(5):351-8. doi: 10.1097/00000478-198705000-00003. PMID: 3578645.
- Van Hoeven KH, Drudis T, Cranor ML, Erlandson RA, Rosen PP. Low-grade adenosquamous carcinoma of the breast. A clinicopathologic study of 32 cases with ultrastructural analysis. Am J Surg Pathol. 1993 Mar;17(3):248-58. doi: 10.1097/00000478-199303000-00005. PMID: 8434705.
- Tan QT, Chuwa EW, Chew SH, Lim-Tan SK, Lim SH. Low-grade adenosquamous carcinoma of the breast: A diagnostic and clinical challenge. Int J Surg. 2015 Jul;19:22-6. doi: 10.1016/j.ijsu.2015.05.010. Epub 2015 May 15. PMID: 25986061.
- Geyer FC, Lambros MB, Natrajan R, Mehta R, Mackay A, Savage K, Parry S, Ashworth A, Badve S, Reis-Filho JS. Genomic and immunohistochemical analysis of adenosquamous carcinoma of the breast. Mod Pathol. 2010 Jul;23(7):951-60. doi: 10.1038/modpathol.2010.82. Epub 2010 May 7. PMID: 20453835.
- Zhang G, Fong N. Low-grade adenosquamous carcinoma of the breast. Human Pathol. Rep. 2021; 26; 300568.