November 2024 Case
Clinical History
Woman in her 40’s presented with a history of a large pelvic mass. Imaging studies revealed a 20 cm complex mass with mixed solid and cystic components, as well as lung nodules suggestive of metastatic disease. She underwent a total hysterectomy and bilateral salpingo-oophorectomy. The patient had no prior significant gynecologic history.
Surgical Pathology Findings
Gross Examination
The uterus measured 18 x 14 x 8 cm and contained a 16 cm multilobulated mass with tan-white, firm solid areas interspersed with cystic hemorrhagic components. The tumor extended through the myometrium and reached the serosa, with evidence of adherence to the omentum.
Microscopic Examination
Histologic sections showed a high-grade spindle cell sarcoma with marked lymphovascular space invasion, full-thickness myometrial involvement, and extension to the serosal surface. The tumor also exhibited parametrial and omental invasion, along with metastatic nodules in the small bowel mesentery and bilateral ovaries.
Immunohistochemistry
Immunohistochemical stains revealed negativity for markers such as D2-40, CD117, desmin, and smooth muscle actin, while Cyclin D1 and ETS Transcription Regulator displayed focal positivity. Diffuse overexpression of p16 was noted, supporting a diagnosis of high-grade sarcoma. Other markers, including CD10 and SOX10, were negative, providing further evidence against alternate tumor types.
Molecular Pathology Findings
Next-generation sequencing identified a novel RAD51B::CCND1 gene fusion. Additional copy number analysis revealed deletions in CDKN2A and MTAP genes, commonly associated with aggressive behavior in sarcomas. The tumor’s mutational burden was low, and microsatellite instability was not detected, suggesting limited potential for immunotherapy responsiveness.
Diagnosis
High-grade uterine sarcoma with RAD51B::CCND1 fusion.
Discussion
Uterine sarcomas are aggressive and rare, often with a high propensity for metastasis, contributing to poor patient outcomes. Among them, those with RAD51B rearrangements form a unique subset, predominantly observed in uterine malignancies like leiomyosarcomas (LMS) and perivascular epithelioid cell tumors (PEComas). These fusions are rare and have previously been associated with a high mitotic rate and heterogeneity in morphology, varying from epithelioid to spindle cell patterns. This case’s RAD51B::CCND1 fusion is a novel finding, broadening the genetic landscape of RAD51B-associated sarcomas.
The RAD51B gene, known for its role in DNA repair, has been implicated in uterine tumors, contributing to an aggressive tumor phenotype. In previously documented cases, RAD51B fusions, particularly with RRAGB or OPHN1, are most frequently observed in uterine PEComas. These fusions create unique molecular subsets that may have distinct prognostic and therapeutic implications, though data remains limited. Given the novelty of the RAD51B::CCND1 fusion observed here, further investigation is warranted to determine its potential role in tumor biology and treatment.
This tumor also demonstrated loss of CDKN2A and MTAP, genes located in close genomic proximity, which frequently co-delete in aggressive cancers. CDKN2A loss is well-documented in various sarcomas and is associated with disrupted cell cycle regulation and worse prognosis. MTAP deletion may indicate sensitivity to targeted therapies involving PRMT5 inhibition, suggesting a future avenue for therapeutic intervention. Together, the RAD51B fusion and CDKN2A/MTAP loss likely contribute to this tumor's aggressive behavior.
From a clinical perspective, the identification of RAD51B rearrangements is essential for recognizing these rare molecular subtypes. FISH or next-generation sequencing is typically required to detect such fusions due to their rarity and variable morphology. Accurate molecular characterization not only aids in diagnosis but also informs potential therapeutic strategies, particularly as novel targeted therapies continue to emerge.
In conclusion, this case highlights a rare high-grade uterine sarcoma with a novel RAD51B::CCND1 fusion, adding to the evolving understanding of RAD51B-associated sarcomas. Molecular profiling is pivotal in these cases to identify unique genetic alterations that may influence treatment and prognosis. Further studies on RAD51B-rearranged tumors could reveal additional insights into their behavior and potential for targeted therapies.

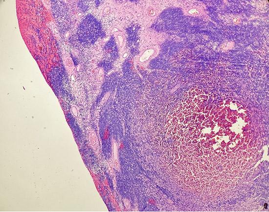
Tumor exhibits a densely cellular growth pattern with sheets and fascicles of atypical spindle cells infiltrating the full thickness of the myometrium, extending to the serosal surface (Low Magnification ,40X).

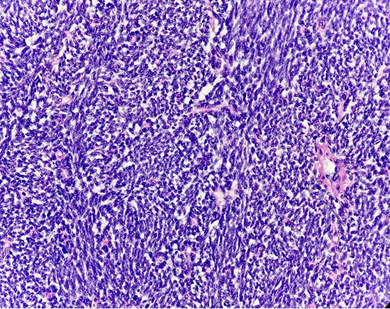
High-grade spindle cell morphology with marked nuclear atypia, hyperchromasia, and prominent nucleoli (High Magnification, 400X).

The uterus shows an irregular, nodular contour with serosal disruption by adhesions and tan-white firm tumor nodules.

Full thickness section reveals tan-white tumor replacing the myometrium, infiltrating to the serosa.