November 2023 Case
Clinical History
A female patient in her 70s presented to her gynecologist with a primary complaint of itching in her vulvar area for approximately 2 years. She denied any vaginal bleeding, pain, or change in bowel or bladder habits. On physical exam, there were two velvety patches seen on the right vulva. The patient underwent excisional biopsies.

Figure 1. (A) Gross photo of right vulvar specimen. The skin surface displays a 2.9 x 2.2 cm area of ill-defined dark-brown discoloration with central pallor. (B) Gross photo of left vulvar specimen. In comparison to the right side, this skin surface is tan, wrinkled, and grossly unremarkable.

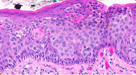
Figure 2. Section from the right vulva. The epidermis is composed of nests of tumor cells with large, vesicular nuclei with prominent nucleoli and abundant pale, eosinophilic cytoplasm. There are also intracytoplasmic vacuoles and dark pigment.

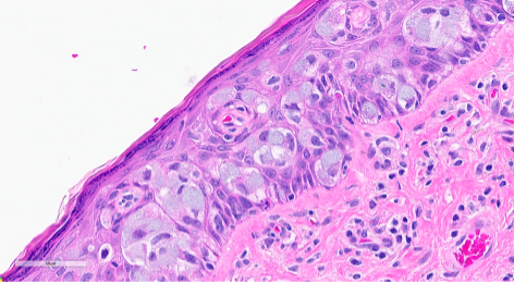
Figure 3. Section from the right vulva. In other areas of the epidermis, the same tumor cells are seen with intracytoplasmic mucin.

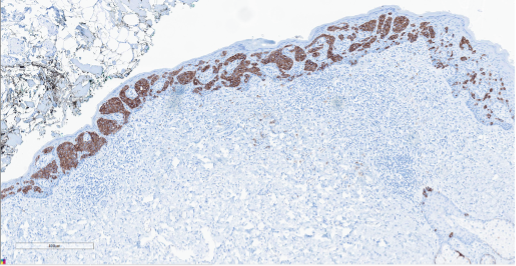
Figure 4. Immunohistochemistry. CK7, a membranous-cytoplasmic stain showing diffuse positivity in a nest-like pattern.

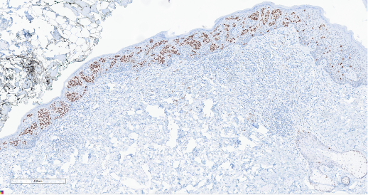
Figure 5. Immunohistochemistry. GATA3, a nuclear stain highlighting the tumor cells in the same nest-like pattern as CK7.

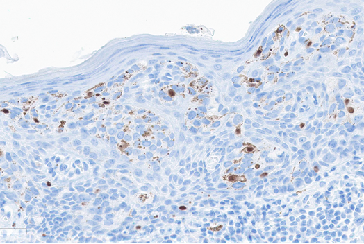
Figure 6. Immunohistochemistry. SOX10, a nuclear stain, was interpreted as negative in the cells of interest. The stain does highlight benign melanocytes.

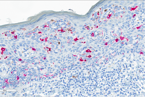
Figure 7. Immunohistochemistry. Melan-A, a cytoplasmic stain, was interpreted as negative in the cytoplasm of cells of interest but highlights the intraepithelial melanocytes.
Diagnosis
Primary Paget disease of the vulva
Discussion
Primary Paget disease of the vulva is a rare in situ adenocarcinoma that arises in the labium minus or majus and most commonly affects postmenopausal women. Patients may present with itching or burning that has been present for years before undergoing a biopsy. On physical examination, the vulvar lesion is raised and may look erythematous or eczematous and can extend to the vagina and cervix. On microscopy, the tumor cells may be singly dispersed or arranged in a nested pattern. The nuclei are large and vesicular with prominent nucleoli. There is abundant pale, eosinophilic cytoplasm and intracytoplasmic mucin can be seen. The tumor is most commonly positive for CK7, GATA3, CEA, and GCDFP-15 and negative for PAX8, SOX10, and HPV ISH. This panel is helpful when differentiating it from other entities. However, there are reports of p16 and PAX8 positivity in Paget disease of the vulva, so careful interpretation of morphologic features and ancillary studies is important.
In some cases, there may be melanin pigment throughout the epidermis and dermis, which gives rise to a melanoma differential. In this situation, SOX10 and Melan-A will stain the background melanocytes; however, the Paget tumor cells will be negative. Other differentials include vulvar intraepithelial neoplasia, HPV-independent (dVIN), high-grade squamous intraepithelial lesion (HSIL) with pagetoid spread, and secondary Paget disease. dVIN can microscopically look like Paget with the nested, pale tumor cells, as well as mucinous differentiation, however, it will be negative for CK7 and GCDFP-15. HSIL can mimic Paget with mucinous areas, melanin pigment, and pagetoid spread too. To best differentiate HSIL from Paget, high-risk HPV ISH is useful, as it will be positive in HSIL and negative in Paget. The last differential is secondary Paget, which is much less common and originates in another location before metastasizing, such as the rectum, cervix, or bladder. These would stain for CDX2, CK20, or uroplakin-3, respectively.
The management for primary Paget disease of the vulva is local excision; however, these often recur due to incomplete excision because they can extend further than the clinical impression. When they do recur, they typically stay within the epidermis. However, careful examination of the dermis and deeper levels are necessary to rule out an invasive component. Recently, it has been discussed that patients with ERBB2 amplified tumors may benefit from anti-HER-2/neu therapy. A study of 47 cases, which included multiple sites such as the vulva, perineum, scrotum, and axilla (majority vulva), showed that nearly a third of patients were positive and could be candidates for targeted therapy; however, this finding was also suggestive of more aggressive behavior.
Primary Paget disease of the vulva is rare but is important to keep in mind due to other entities' ability to mimic it morphologically.
References
- Capria A, Tahir N, Fatehi M. Vulva Cancer. [Updated 2023 Jan 9]. In: StatPearls [Internet]. Treasure Island (FL): StatPearls Publishing; 2023 Jan-. Available from: https://www.ncbi.nlm.nih.gov/books/NBK567798/
- Clement, PB, Stall, JN, and Young, RH. Atlas of Gynecologic Surgical Pathology (4E).
- D Duhoki, M F Gonzalez, Cytomorphologic Features of Extramammary Paget’s Disease of The Vulva in a patient with history of Squamous Cell Carcinoma of The Cervix, Status Post Chemoradiation and Neoadjuvant Therapy. The Importance of Basic Principles, American Journal of Clinical Pathology, Volume 156, Issue Supplement_1, October 2021, Page S41, https://doi.org/10.1093/ajcp/aqab191.082
- McCluggage WG, Jamison J, Boyde A, and Ganesan R. Vulva Intraepithelial Neoplasia with Mucinous Differentiation. Report of 2 Cases of a Hitherto Undescribed Phenomenon. Am J Surg Pathol. June 2009;33(6):945-949.
- Plaza JA, Torres-Cabala C, Ivan D, Prieto VG. HER-2/neu expression in extramammary Paget disease: a clinicopathologic and immunohistochemistry study of 47 cases with and without underlying malignancy. J Cutan Pathol. 2009 Jul;36(7):729-33. doi: 10.1111/j.1600-0560.2008.01148.x. PMID: 19519604.
- Sah AP and McCluggage WG. Florid Vulval Paget Disease Exhibiting p16 Immunoreactivity and Mimicking Classic VIN. Int J of Gyn Path. 2013;32:221-227.
- Wong J, Pina A, Mayrand M-H, Rahimi K. Pagetoid Squamous Intraepithelial Neoplasia of the Vulva as a Mimicker of Vulvar Extramammary Paget Disease: Two Cases with Basal Layer Sparing. International Journal of Surgical Pathology. 2023;31(7):1302-1307. doi:10.1177/10668969221137527
- World Health Organization. Classification of Tumours [as of 10/13/2023]. Available from: https://tumourclassification.iarc.who.int/home