May 2021 Case
Clinical History
A male patient in his 30s presented initially for multiple firm, red or reddish-brown cutaneous nodules, ranging from 3 mm to 2 cm, on his legs, arms and chest. Multiple excisional biopsies were performed.

Microscopic findings
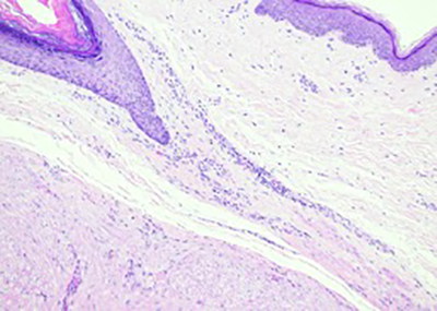
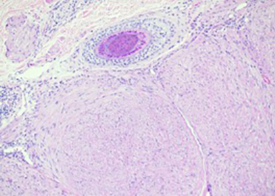
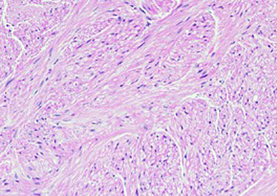
Histology showed multiple dermal nodules; some originated from the arrector pili muscles, composed of interlacing smooth muscle bundles, with bland, blunt-ended spindle cell nuclei and abundant fibrillary eosinophilic cytoplasm.
Ancillary studies
Clinical presentation and histology raised the possibility of hereditary leiomyomatosis and renal cell carcinoma (HLRCC). HLRCCs are mostly associated with germline mutations and loss of function in fumarate hydratase (FH) gene. Loss of FH confirmed by immunohistochemistry on a selected nodule.
Diagnosis
Cutaneous leiomyoma.

Cutaneous leiomyoma originating from an arrector pili muscles (40x)

Cutaneous leiomyoma originating from an arrector pili muscles (100x)

Cutaneous leiomyoma originating from an arrector pili muscles (200x)

Smooth muscle bundles, with bland, blunt ended spindle cell nuclei (400x)

Fumarate hydratase, control (400x)

Loss of fumarate hydratase, patient (400x)
Discussion
Cutaneous leiomyomas (CL), or so-called piloleiomyomas, are rare, benign smooth muscle tumors derived from the arrector pili muscle. Arrector pili muscles are responsible for piloerection (commonly known as "goosebumps") of hair follicles.
Piloleiomyomas may occur sporadically or as part of an autosomal dominant cancer syndrome called hereditary leiomyomatosis and renal cell carcinoma, present as multiple cutaneous nodules.
The association between cutaneous leiomyomas, uterine leiomyomas in women, and an aggressive form of renal cell carcinoma (RCC) was discovered in 2001. That emphasizes the importance of accurate dermatologic/dermatopathologic diagnosis of CL that can institute appropriate cancer screening and counseling of patients and at-risk relatives.
Hereditary leiomyomatosis and renal cell carcinoma (HLRCC) is caused by autosomal dominantly inherited germline heterozygous mutations in the fumarate hydratase gene (FH) on chromosome 1q42.2. This mutation may lead to tumorigenesis via activation of the hypoxia inducible factor 1 (HIF-1) pathway.
Uterine leiomyomas in the HLRCC setting are usually multiple, large, and histologically show characteristic inclusion-like nucleoli. Occasional mitosis is also seen, but without necrosis and atypical mitosis, suggestive of leiomyosarcoma.
Renal cell carcinoma in HLRCC demonstrates a unique papillary histology, with large nucleus and prominent eosinophilic nucleolus surrounded by a clear halo. These tumors are highly aggressive and frequently metastasize when the primary tumor is still quite small (<1 cm).
The lifetime renal cancer risk in HLRCC is approximately 15 percent and the median age at diagnosis is 42 to 44 years. All individuals known to have an FH mutation and those suspected to have an FH mutation (eg, individuals with multiple cutaneous leiomyomas or early onset uterine leiomyomas) should be screened for RCC to detect small tumors. Early detection and surgical intervention may decrease the potential of metastatic disease.
The definitive diagnosis of HLRCC is based upon the demonstration of a germline mutation in the FH gene. Thus, genetic testing should be offered to individuals who present with clinical manifestations of HLRCC or have a family history of HLRCC.
References
- Schmidt LS, Linehan WM. Hereditary leiomyomatosis and renal cell carcinoma. Int J Nephrol Renovasc Dis. 2014;7:253-60. Epub 2014 Jun 20.
- Patel VM, Handler MZ, Schwartz RA, Lambert WC. Hereditary leiomyomatosis and renal cell cancer syndrome: An update and review. J Am Acad Dermatol. 2017 Jul;77(1):149-158.
- Launonen V, Vierimaa O, Kiuru M, Isola J, Roth S, Pukkala E, Sistonen P, Herva R, Aaltonen LA. Inherited susceptibility to uterine leiomyomas and renal cell cancer. Proc Natl Acad Sci U S A. 2001 Mar 13;98(6):3387-92.
- Tomlinson IP, Alam NA, Rowan AJ, Barclay E, Jaeger EE, Kelsell D, Leigh I, Gorman P, Lamlum H, Rahman S, Roylance RR, Olpin S, Bevan S, Barker K, Hearle N, Houlston RS, Kiuru M, Lehtonen R, Karhu A, Vilkki S, Laiho P, Eklund C, Vierimaa O, Aittomäki K, Hietala M, Sistonen P, Paetau A, Salovaara R, Herva R, Launonen V, Aaltonen LA; Multiple Leiomyoma Consortium. Germline mutations in FH predispose to dominantly inherited uterine fibroids, skin leiomyomata and papillary renal cell cancer. Nat Genet. 2002 Apr;30(4):406-10.
- Castro-Vega LJ, Buffet A, De Cubas AA, Cascón A, Menara M, Khalifa E, Amar L, Azriel S, Bourdeau I, Chabre O, Currás-Freixes M, Franco-Vidal V, Guillaud-Bataille M, Simian C, Morin A, Letón R, Gómez-Graña A, Pollard PJ, Rustin P, Robledo M, Favier J, Gimenez-Roqueplo AP. Germline mutations in FH confer predisposition to malignant pheochromocytomas and paragangliomas. Hum Mol Genet. 2014 May 1;23(9):2440-6.
- Linehan WM, Rouault TA. Molecular pathways: Fumarate hydratase-deficient kidney cancer--targeting the Warburg effect in cancer. Clin Cancer Res. 2013 Jul 1;19(13):3345-52.
- Sanz-Ortega J, Vocke C, Stratton P, Linehan WM, Merino MJ. Morphologic and molecular characteristics of uterine leiomyomas in hereditary leiomyomatosis and renal cancer (HLRCC) syndrome. Am J Surg Pathol. 2013 Jan;37(1):74-80.
- Merino MJ, Torres-Cabala C, Pinto P, Linehan WM. The morphologic spectrum of kidney tumors in hereditary leiomyomatosis and renal cell carcinoma (HLRCC) syndrome. Am J Surg Pathol. 2007 Oct;31(10):1578-85.
- Menko FH, Maher ER, Schmidt LS, Middelton LA, Aittomäki K, Tomlinson I, Richard S, Linehan WM. Hereditary leiomyomatosis and renal cell cancer (HLRCC): renal cancer risk, surveillance and treatment. Fam Cancer. 2014 Dec;13(4):637-44.