March 2021 Case
Clinical History
This patient is a 76-year-old male with recent onset retroperitoneal lymphadenopathy. Per the history provided to us, he had an advanced squamous cell carcinoma involving the right submandibular gland. Two years ago at an outside institution, he underwent a fine needle aspiration (FNA) biopsy of a cervical lymph node that was diagnosed as metastatic, poorly differentiated, p16 positive squamous cell carcinoma. Recently at a second outside institution, he underwent a core needle biopsy of his retroperitoneal lymphadenopathy. The second outside institution reviewed the original FNA biopsy and rendered a diagnosis for the retroperitoneal core needle biopsy of metastatic, poorly differentiated, p16 positive carcinoma. In a comment from this diagnosis, the carcinoma was described as being most likely a metastasis from the squamous cell carcinoma involving the submandibular gland. A formalin fixed, paraffin embedded tissue block of the core needle biopsy was sent to our outreach service for next generation sequencing (NGS).
Molecular Analysis
Molecular profiling of the patient's retroperitoneal tumor was performed using the Cedars-Sinai comprehensive cancer panel, which is a targeted amplicon based NGS assay that utilizes DNA and RNA to detect single nucleotide variations, indels, copy number variations, and select rearrangements (inter and intragenic) in 161 genes as well as tumor mutational burden. A nonfunctional variant of TP53, nonsense alteration of FBXW7, amplification of MYC, and CTNNB1-PLAG1 fusion were identified.

Discussion
The patient's molecular profile was not consistent with the presented diagnosis of a p16 positive squamous cell carcinoma. Most notably, the CTNNB1-PLAG1 fusion in malignant salivary gland tumors is highly suggestive of carcinoma ex pleomorphic adenoma (CXPA). PLAG1 (Pleomorphic adenoma gene 1) alterations are found in up to 83% of CXPAs. However, these can also be found in a subset of salivary duct carcinomas, lipoblastomas, and in myoepithelial carcinomas with the unique TGFBR3-PLAG1 fusion. The CTNNB1-PLAG1 fusion is the most common fusion partner in CXPA and has not, to our knowledge, been reported in oral squamous cell carcinoma.
The patient's original submandibular mass was most likely a CXPA now with metastasis to the retroperitoneum. The p16 and CK 5/6 immunohistochemical positivity in the original FNA biopsy sample (described in the report as being a limited specimen) of the cervical lymph node created a diagnostic pitfall suggesting a HPV mediated oral squamous cell carcinoma as the primary tumor which was repeated when the FNA was referenced to diagnose the retroperitoneal core biopsy. While this immunophenotype is associated with HPV mediated squamous cell carcinoma, it is not entirely specific. Studies have shown that nuclear expression of p16 can be detected in the malignant epithelial component of CXPAs ranging from 18.5% to 69%. It is important to differentiate between these entities because they have different prognostic outcomes and treatment guidelines.
Further investigation into the patient's history revealed that they had their submandibular mass biopsied and excised at a third institution in between getting the biopsy of the cervical lymph node and the biopsy of the retroperitoneal adenopathy at the first two institutions. This information was not available to the pathologists who reviewed the FNA and core needle biopsies.

Figure 1: Gross Image of the Submandibular Mass Excision

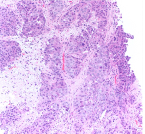
Figure 2: H&E Image of the Submandibular Mass Biopsy
The excision of the submandibular mass was diagnosed at the third institution as a salivary gland adenocarcinoma NOS with the differential diagnosis of the biopsy including CXPA. The excision was not sent for NGS or otherwise tested for PLAG1 alterations. Immunohistochemistry performed on the biopsy was positive for p16 and in-situ hybridization was negative for HPV. This case highlights a potential diagnostic pitfall of relying on p16 immunostaining to make a diagnosis of squamous cell carcinoma in limited biopsy materials or metastasis while simultaneously highlighting the potential clinical benefit of ancillary molecular testing in limited or poorly differentiated specimens. Although perhaps more salient, this case demonstrates the necessity for more effective communication and portability of pathology results across institutions that patients visit to prevent misdiagnosis and the need for additional testing.
References
- Matsuyama A, Hisaoka M, Nagao Y, Hashimoto H. Aberrant PLAG1 expression in pleomorphic adenomas of the salivary gland: a molecular genetic and immunohistochemical study. Virchows Arch. 2011 May;458(5):583-92. doi: 10.1007/s00428-011-1063-4. Epub 2011 Mar 11. PMID: 21394649.
- Rotellini M, Palomba A, Baroni G, Franchi A. Diagnostic utility of PLAG1 immunohistochemical determination in salivary gland tumors. Appl Immunohistochem Mol Morphol. 2014 May-Jun;22(5):390-4. doi: 10.1097/PAI.0b013e3182936ea7. PMID: 23958548.
- Tarakji B, Altamimi MA, Baroudi K, Nassain MZ, Alenzi FQ. Immunohistochemical expression of p16 in Carcinoma Ex-pleomorphic Adenoma (undifferentiated and Adenocarcinoma Types). J Clin Diagn Res. 2013 Dec;7(12):3054-6. doi: 10.7860/JCDR/2013/7380.3851. Epub 2013 Dec 15. PMID: 24551726.
- Patel RS, Rose B, Bawdon H, Hong A, Lee CS, Fredericks S, Gao K, O'Brien CJ. Cyclin D1 and p16 expression in pleomorphic adenoma and carcinoma ex pleomorphic adenoma of the parotid gland. Histopathology. 2007 Nov;51(5):691-6. doi: 10.1111/j.1365-2559.2007.02853.x. PMID: 17927591.
- Dalin MG, Katabi N, Persson M, Lee KW, Makarov V, Desrichard A, Walsh LA, West L, Nadeem Z, Ramaswami D, Havel JJ, Kuo F, Chadalavada K, Nanjangud GJ, Ganly I, Riaz N, Ho AL, Antonescu CR, Ghossein R, Stenman G, Chan TA, Morris LGT. Multi-dimensional genomic analysis of myoepithelial carcinoma identifies prevalent oncogenic gene fusions. Nat Commun. 2017 Oct 30;8(1):1197. doi: 10.1038/s41467-017-01178-z. PMID: 29084941.
- Fritchie K, Wang L, Yin Z, Nakitandwe J, Hedges D, Horvai A, Mora JT, Folpe AL, Bahrami A. Lipoblastomas presenting in older children and adults: analysis of 22 cases with identification of novel PLAG1 fusion partners. Mod Pathol. 2021 Mar;34(3):584-591. doi: 10.1038/s41379-020-00696-4. Epub 2020 Oct 23. PMID: 33097826.
- Katabi N, Xu B, Jungbluth AA, Zhang L, Shao SY, Lane J, Ghossein R, Antonescu CR. PLAG1 immunohistochemistry is a sensitive marker for pleomorphic adenoma: a comparative study with PLAG1 genetic abnormalities. Histopathology. 2018 Jan;72(2):285-293. doi: 10.1111/his.13341. Epub 2017 Oct 19. PMID: 28796899.