January 2025 Case
Authors
Michael Kozak, DO (Fellow), Kevin Waters, MD, PhD (Faculty)
Gastrointestinal/Liver Pathology
History
50+ year old patient with no significant medical history presented with jaundice, scleral icterus, and abdominal pain. Patient denies fevers, chills, nausea or vomiting. A CT scan of the abdomen was performed which showed a 19 x 8.5 cm mass surrounding the gallbladder fossa with possible gallbladder involvement as well as multiple nodules throughout the right and left lobes of the liver. A mixture of tumor and bland thrombus was identified within the portal vein. Targeted biopsy of the liver nodules was performed.
Histology

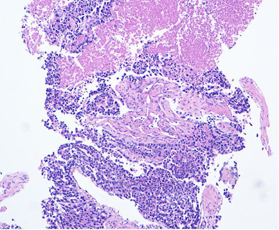
Figure 1. Hematoxylin and eosin stain (10x magnification) of the liver biopsy demonstrating an infiltrative, cellular lesion with predominantly solid growth and areas of tumor necrosis.

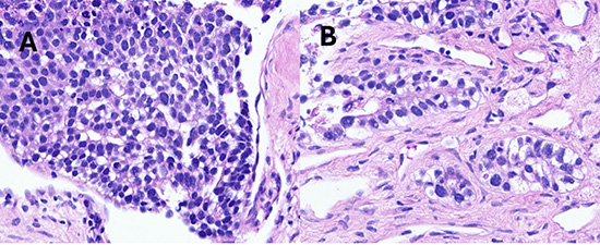
Figure 2. Hematoxylin and eosin stain (40x magnification) demonstrating solid and glandular growth patterns. Cells contain moderate clear cytoplasm, subnuclear vacuoles, and coarse chromatin.

Figure 3. Immunohistochemical (IHC) stains demonstrating tumor positivity for CDX2 (A), Glypican-3 (B), SALL-4 (C), and alpha fetoprotein (AFP) (D).
Diagnosis
Moderately-to-poorly differentiated adenocarcinoma with enteroblastic differentiation (enteroblastic cholangiocarcinoma).
Discussion
Adenocarcinoma with enteroblastic (fetal gut-like) differentiation is a rare morphologic variant that has been described in the esophagus, stomach, colon, pancreas, gallbladder, and ovary; of these, the stomach is the most common site of origin accounting for an estimated 84% of all enteroblastic carcinomas. Cases arising in the gallbladder or biliary tree are very rare with less than 10 case reports and one analysis of 4 cases diagnosed at King’s College Hospital in London by Chun et al, identified in the literature.
Histologic features of enteroblastic differentiation include cuboidal to columnar cells with glycogen-rich clear cytoplasm, subnuclear vacuoles, and course chromatin that resembles fetal gut epithelium. These tumors can demonstrate several patterns of growth including papillary, micropapillary, tubular, or solid architecture. Immunohistochemical studies show positivity for embryonal markers (such as AFP, glypican-3 and SALL4) in addition to CDX2 and variable keratin expression.
Clinically these tumors can present with elevated serum AFP, and due to this association, serum AFP levels can potentially by used as a biomarker to monitor for tumor recurrence after treatment. This morphologic variant generally carries a poor prognosis when compared to its conventional counterpart.
In conclusion, we present a rare case of adenocarcinoma with enteroblastic differentiation arising in the gallbladder. This differential diagnosis should be raised in patients presenting with gallbladder tumors and elevated serum AFP levels. Histologic evaluation can demonstrate several architectural patterns including papillary, micropapillary, tubular, or solid and tumor cells show characteristic clear glycogen-rich cytoplasm with subnuclear vacuoles and coarse chromatin. In suspected cases, immunohistochemical stains for embryonal markers such as AFP, glypican-3, and SALL4 should be performed. While case reports and studies are still very limited, these tumors are generally thought to convey a poor prognosis. Increased recognition and reporting of this entity will be valuable for better understanding the pathogenesis and clinical behavior of this rare entity.
References
- Chun J, Moore M, Kelly P, Kanzawa M, Itoh T, Hong SM, Zen Y. Enteroblastic cholangiocarcinoma: An uncommon, underrecognized subtype of bile duct cancer. Hum Pathol. 2024 Feb;144:46-52.
- Akazawa Y, Saito T, Hayashi T, Yanai Y, Tsuyama S, Akaike K, Suehara Y, Takahashi F, Takamochi K, Ueyama H, Murakami T, Watanabe S, Nagahara A, Yao T. Next-generation sequencing analysis for gastric adenocarcinoma with enteroblastic differentiation: emphasis on the relationship with hepatoid adenocarcinoma. Hum Pathol. 2018 Aug;78:79-88.
- Koyama K, Maeda D, Tamura D, Narita C, Kudo-Asabe Y, Sato T, Yamamoto Y, Sageshima M, Nanjo H, Goto A. Fetal gut-like differentiation in gallbladder cancer. Hum Pathol. 2017 Dec;70:27-34.
- Zen Y. Intrahepatic cholangiocarcinoma: typical features, uncommon variants, and controversial related entities. Hum Pathol. 2023 Feb;132:197-207.
- Ikeda H, Sato Y, Yoneda N, Harada K, Sasaki M, Kitamura S, Sudo Y, Ooi A, Nakanuma Y. α-Fetoprotein-producing gastric carcinoma and combined hepatocellular and cholangiocarcinoma show similar morphology but different histogenesis with respect to SALL4 expression. Hum Pathol. 2012 Nov;43(11):1955-63.