January 2022 Case
Clinical History
A patient in her 50's with a 2-year history of heavy menstrual cycles resulting in anemia. She sought gynecological care during which a pelvic ultrasound, revealed a thickened endometrium and uterine fibroids. She had tried hormonal intrauterine device (IUD) without improvement. The patient reported pelvic and rectal pressure, but otherwise denied any rectal bleeding or GI symptoms. Patient has no prior history of cancer. The patient underwent hysteroscopic endometrial curettage and fibroid resection, and the specimen was sent to pathology.
Diagnosis
Histopathologic examination showed fragmented specimen containing adenocarcinoma, characterized by relatively well formed glands with cribriform glands in some areas. The epithelial cells were relatively uniform with basally oriented nuclei and intracytoplasmic mucin was present in a subset of cells. Some areas contained areas of necrotic cellular debris within the lumens of the neoplastic glands. No areas of non-atypical endometrial hyperplasia or endometrial intraepithelial neoplasia were identified. There were fragments of leiomyomas in the background. Immunohistochemical analysis demonstrated the adenocarcinoma cells to be positive for CK20, CDX-2, SATB-2 (patchy), MUC2 (patchy) and CEA. They were negative for CK7, PAX-8, GATA-3, ER, PR, Vimentin and hrHPV in-situ. The p16 and MUC6 showed rare positive neoplastic cells, and p53 demonstrated a wild type pattern. Mismatch repair proteins were intact. The combined morphologic and immunohistochemical features support and adenocarcinoma with an enteric/gastrointestinal phenotype. The case was finalized as moderately differentiated adenocarcinoma with intestinal/enteric phenotype. In the absence of any notable conventional endometrioid adenocarcinoma or precursor endometrial proliferation, the differential diagnosis included a metastasis (likely from colorectal origin or other sites which may acquire an intestinal phenotype, and an unusual primary endometrial carcinoma with pure intestinal metaplasia/differentiation. Additional workup to exclude extrauterine primary sites was recommended.
Subsequent imaging was performed which showed a circumferential colonic mass involving the proximal sigmoid and peritoneal carcinomatosis with solid tumor as well as ascites.

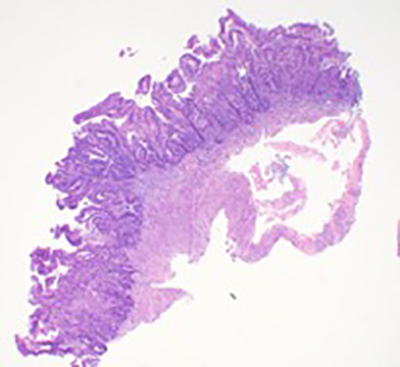
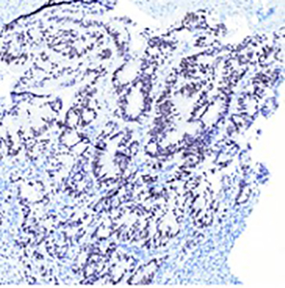
A. 100X

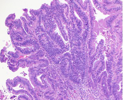
B. 400X

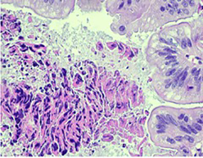
C.

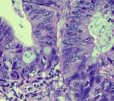
D.

E.

F.

G.

H.
Fig. 1 Adenocarcinoma embedded in endometrial stroma (A and B). Adenocarcinoma with dirty necrosis (C) and intracytoplasmic mucin (D). The malignant cells are negative for CK-7 (E) and positive for CK-20 (F), CDX-2 (G), SATB-2 (H).
Discussion
Metastasis to uterine body by extragenital malignancies is extremely rare. In a series of 63 reported cases of metastasis to the uterine body by extragenital primary neoplasms, colorectal carcinoma was the second most common after breast carcinomas. Generally, the most common sites of colorectal cancer metastasis include liver, lymph nodes, and lungs. Ovaries are the common female genital tract site of colorectal cancer metastasis (1). In this case, the histopathologic, immunoprophile, and imaging findings are essentially those of a colorectal adenocarcinoma. Carcinomas with enteric/intestinal differentiation pose a diagnostic difficulties in the female genital tract for several reasons. First it is possible for non genital sites including ovary, lung, and genitourinary organs to acquire an enteric phenotype morphologically. Upon doing so these neoplasms also acquire an enteric immunophenotype essentially rendering organ selective immunohistochemical markers (such as PAX8, WT1, TTF1, GATA3, etc.) uninformative.
Intestinal metaplasia/differentiation in primary endometrial carcinoma is uncommon and was first described by Berger in 1984 (2). Nine cases of endometrial carcinoma with intestinal metaplasia/differentiation were reported by Ardighieri, et. al. In their series such tumors were described in pure form or in association with endometrioid carcinomas. The intestinal metaplastic component was positive for CK7, CK20 and CDX2, and negative for PAX-8, ER and PR expression (3). This immunoprophile is similar to our case; however, the lack of CK7 positivity and presence of CK20 positivity provides further evidence of true enteric differentiation.
In conclusion, enteric/intestinal type morphology, combined with a lack of a precursor process, and enteric immunophenotype, should alert pathologist to consider the possibility of metastasis.
References
- Kumar NB, Hart WR. Metastases to the uterine corpus from extragenital cancers. A clinicopathologic study of 63 cases. Cancer. 1982 Nov 15;50(10):2163-9.
- Berger G, Fetissof F, Vitrey D, Chayvialle JA, Féroldi J. Endometrial carcinoma of the intestinal type. A first case report. Appl Pathol. 1984;2(2):63-9.
- Ardighieri L, Palicelli A, Ferrari F, Bugatti M, Drera E, Sartori E, Odicino F. Endometrial Carcinomas with Intestinal-Type Metaplasia/Differentiation: Does Mismatch Repair System Defects Matter? Case Report and Systematic Review of the Literature. J Clin Med. 2020 Aug 6;9(8):2552.