February 2023 Case
Clinical History
Elderly male presents with chronic kidney disease, bilateral renal cysts, urinary retention due to an enlarged prostate, and echogenic kidneys. In Fall of 2022, he had negative UPEP and serologic studies, a serum creatinine of 1.27 mg/dL following hydration, a UPC of 1.0 and no hematuria.

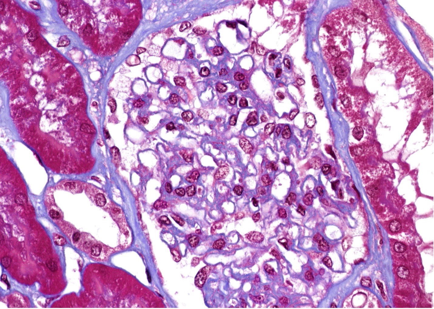
Figure 1 (Microscopic Photo, 400x) Diffusely and segmentally, podocytes have expanded cytoplasm with a marked foamy appearance (arrows, trichrome stain).

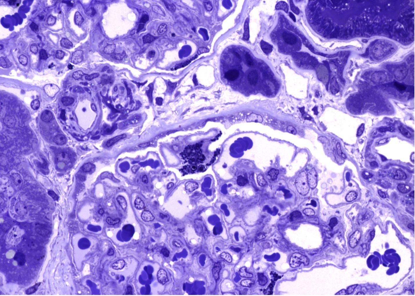
Figure 2 (Microscopic Photo, 400x) Segmental podocytes have prominent and expanded cytoplasm with round blue cytoplasmic droplets (arrows, toluidine blue stained one-micron thick sections).

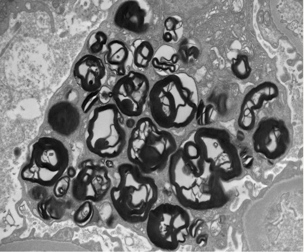
Figure 3 (Electron microscopy Photo) Segmental podocytes contain numerous rounded electron-dense lipid inclusions (myelin figures, aka zebra bodies)
Diagnosis
Podocyte myelin figure-like inclusions, consistent with Fabry disease.
Discussion
Fabry disease is X-linked, caused by pathogenic variants in the alpha-galactosidase A (alpha-Gal A; galactosidase alpha [GLA]) gene (Xq22.1), which encodes lysosomal hydrolase alpha-galactosidase A (alpha-Gal A). This enzyme primarily catalyzes the hydrolytic cleavage of the terminal galactose from alpha D-galactosyl moieties of glycolipids such as globotriaosylceramide (Gb3)1. Deficiency of Alpha-Gal A results in lysosomal accumulation of Gb3 in a wide variety of cells, such as autonomic ganglia, dorsal root ganglia, renal glomerular (primarily podocytes), renal tubular and interstitial cells, cardiac muscle cells, and vascular smooth muscle cells 2,3. Fabry disease is the most prevalent lysosomal storage disorder of the glycosphingolipid metabolic pathway and has been associated with over a thousand mutations in the GLA gene 4.
The hydrophilic deacylated derivative globotriaosylsphingosine (lysoGb3) is cytotoxic, proinflammatory, and profibrotic, which leads to disease manifestations such as severe neuropathic or limb pain (acroparesthesias), telangiectasias and angiokeratomas, gastrointestinal symptoms, kidney dysfunction, cardiovascular disease (such as left ventricular hypertrophy, aortic and mitral regurgitation, conduction defects and coronary artery disease), and corneal opacities (cornea verticillata)5,6. The clinical manifestations vary, ranging from the severe classic phenotype in males to asymptomatic disease in some females. Female heterozygotes have a variable disease presentation that ranges from an asymptomatic to severe phenotype resembling that seen in males. This phenotypic variation may be partly due to skewed (nonrandom) X-chromosome inactivation7. Males with classic Fabry disease are hemizygous and have little or no functional alpha-Gal A enzyme activity (<1 percent of the normal mean) with virtually all podocytes showing myelin figures. Our patient is male and presented with increased creatinine and non-nephrotic range proteinuria, without the classic clinical presentation of Fabry disease. The renal biopsy findings are unusual with only segmental podocyte inclusions, suggesting a mosaic form of Fabry disease may be present 8. Genetic testing for Fabry disease was recommended and it is pending.
Kidney dysfunction such as proteinuria, isosthenuria, polyuria, and polydipsia are common in patients with Fabry disease. A significant number of patients develop chronic kidney disease (CKD) and eventually end-stage kidney disease (ESKD). Some patients may present with disease limited to the kidney (renal variant), and Fabry disease may be underdiagnosed among patients with ESKD9. Kidney biopsy is helpful in establishing the diagnosis of Fabry disease. It is not uncommon that the diagnosis of Fabry disease is made incidentally when a kidney biopsy is obtained to evaluate the cause of proteinuria and/or kidney insufficient in patients with no known family history or no clinical presentation of Fabry disease at the time of biopsy, such as in our patient.
Kidney biopsy pathologic findings by light microscopy (LM) and electron microscopy (EM) are quite characteristic in Fabry disease. LM shows visceral glomerular epithelial cells (podocytes) and distal tubular epithelial cells with expanded cytoplasm and a marked foamy appearance (vacuolization), most prominent on the trichrome stain and seem as blue inclusions on toluidine blue stained plastic embedded LM of the EM specimen10. EM reveals podocytes that have prominent and expanded cytoplasm that contains numerous rounded electron-dense lipid inclusions (myelin figures, aka zebra bodies). Myelin figures or zebra bodies represent deposits of Gb3 primarily within enlarged secondary lysosomes as lamellated membrane structures11. These inclusions, composed of concentric layers with a periodicity of 3.5 to 5 nm and often an onion skin appearance, are considered a hallmark of glycolipid storage disorders12. These lipid inclusions may be seen in all glomerular cell types (most prominently podocytes), arteriolar smooth muscle cells, and tubular cells (mostly distal tubules) 11. Podocyte foot process effacement may range from focal to diffuse. Immunofluorescence staining does not typically contribute to the diagnosis but may be useful in excluding other coincident kidney disorders.
The ultrastructural findings of Fabry disease on kidney biopsy are highly characteristic and diagnostic. However, similar inclusions have been described in drug/medication-induced phospholipidosis secondary to quinine containing medications (chloroquine, hydroxychloroquine, anti-malarial agents), amiodarone, mercuric chloride, cisplatin, silicon, cadmium, and possibly other medications 13. The location of the inclusions is sometimes helpful in making the distinction between these diseases. Lamellar inclusions associated with gentamicin occur in proximal tubules, whereas in Fabry disease, the inclusions are most striking in podocytes and distal tubules 14.
References
- Brady RO, Gal AE, Bradley RM, Martensson E, Warshaw AL, Laster L. Enzymatic defect in Fabry's disease. Ceramidetrihexosidase deficiency. N Engl J Med. May 25 1967;276(21):1163-7. doi:10.1056/NEJM196705252762101
- Germain DP. Fabry disease. Orphanet J Rare Dis. Nov 22 2010;5:30. doi:10.1186/1750-1172-5-30
- Najafian B, Tondel C, Svarstad E, Gubler MC, Oliveira JP, Mauer M. Accumulation of Globotriaosylceramide in Podocytes in Fabry Nephropathy Is Associated with Progressive Podocyte Loss. J Am Soc Nephrol. Apr 2020;31(4):865-875. doi:10.1681/ASN.2019050497
- Saito S, Ohno K, Sakuraba H. Fabry-database.org: database of the clinical phenotypes, genotypes and mutant alpha-galactosidase A structures in Fabry disease. J Hum Genet. Jun 2011;56(6):467-8. doi:10.1038/jhg.2011.31
- O'Mahony C, Elliott P. Anderson-Fabry disease and the heart. Prog Cardiovasc Dis. Jan-Feb 2010;52(4):326-35. doi:10.1016/j.pcad.2009.11.002
- Mehta A, Ricci R, Widmer U, et al. Fabry disease defined: baseline clinical manifestations of 366 patients in the Fabry Outcome Survey. Eur J Clin Invest. Mar 2004;34(3):236-42. doi:10.1111/j.1365-2362.2004.01309.x
- Echevarria L, Benistan K, Toussaint A, et al. X-chromosome inactivation in female patients with Fabry disease. Clin Genet. Jan 2016;89(1):44-54. doi:10.1111/cge.12613
- Maria Xu; Orsborne CE, James; Wallace, Andrew; Church, Heather J.; Tylee, Karen; Deepak, Sasalu; Cassidy, Christopher; Woolfson, Peter; Miller, Christopher; Schmitt, Matthias; Jovanovic, Ana; Newman, William G. Mosaic Fabry Disease in a Male Presenting as Hypertrophic Cardiomyopathy. Cardiogenetics 2021;11(1):1-9.
- Nakao S, Kodama C, Takenaka T, et al. Fabry disease: detection of undiagnosed hemodialysis patients and identification of a "renal variant" phenotype. Kidney Int. Sep 2003;64(3):801-7. doi:10.1046/j.1523-1755.2003.00160.x
- Alroy J, Sabnis S, Kopp JB. Renal pathology in Fabry disease. J Am Soc Nephrol. Jun 2002;13 Suppl 2:S134-8.
- Askari H, Kaneski CR, Semino-Mora C, et al. Cellular and tissue localization of globotriaosylceramide in Fabry disease. Virchows Arch. Oct 2007;451(4):823-34. doi:10.1007/s00428-007-0468-6
- Okuda S. Renal involvement in Fabry's disease. Intern Med. Aug 2000;39(8):601-2. doi:10.2169/internalmedicine.39.601
- Sakuraba H, Tsukimura T, Tanaka T, et al. Clinical and biochemical investigation of male patients exhibiting membranous cytoplasmic bodies in biopsied kidney tissues; a pitfall in diagnosis of Fabry disease. J Nephropathol. Jul 2015;4(3):91-6. doi:10.12860/jnp.2015.17
- Reasor MJ, Hastings KL, Ulrich RG. Drug-induced phospholipidosis: issues and future directions. Expert Opin Drug Saf. Jul 2006;5(4):567-83. doi:10.1517/14740338.5.4.567