December 2022
Clinical History
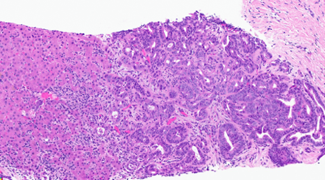
The patient is a middle-aged female with elevated liver enzymes. CT abdomen demonstrated multiple liver lesions with the largest mass measuring 7 cm. There is no primary neoplastic abnormality identified within the abdomen. She underwent a core needle biopsy of her liver lesion. Microscopic examination confirmed a moderately differentiated adenocarcinoma which was clinically consistent with an intrahepatic cholangiocarcinoma (Figure 1). A formalin-fixed, paraffin embedded tissue block of the core needle biopsy was sent for next generation sequencing (NGS) and an oncogenic NRG1 gene fusion was detected. Finally, the patient was started on targeted drug therapy with Seribantumab.

Figure 1: H&E Image of the Liver Lesion Biopsy
Molecular Analysis
Molecular profiling of the patient's liver lesion was performed using the Cedars-Sinai comprehensive cancer panel, which is a targeted amplicon based NGS assay that utilizes DNA and RNA to detect single nucleotide variations, indels, copy number variations, and select rearrangements (inter and intragenic) as well as tumor mutational burden. Genomic profiling detected alterations including loss-of-function variants of ARID1A and ERRFI1, as well as an VTCN1::NRG1 fusion.

Figure 1: H&E Image of the Liver Lesion Biopsy
Discussion
Oncogenic NRG1 fusions are relatively rare drivers that infrequently occur across most tumor types. According to a literature, NGS screening exhibited a prevalence of 0.04% in a retrospective analysis and 0.19% in another screening program. NRG1 fusions are reported in up to 0.5% of intrahepatic cholangiocarcinomas (1).
NRG1-fusion proteins are known to drive tumorigenic signaling pathways. NRG1 encodes neuregulin-1 which is a ligand for HER3/HER4 tyrosine kinase receptor subunits. In general, wild-type NRG1 is expressed on the cell surface and cleaved by proteases to release soluble NRG1 containing the EGF-like region. Soluble NRG1 diffuses to activate distant HER3 or HER4 receptor subunits in a paracrine fashion. The fusion partner detected in this case was VTCN1 which encodes a cell surface protein involved in antigen presentation. As such, the fusion protein is expressed on the cell surface utilizing the transmembrane region of VTCN1. NRG1 fusions tend to lose or alter cleavage sites and may become less susceptible to cleavage by proteases, resulting in an excessive amount of NRG1 tethered to the cell surface. NRG1-fusion proteins hold the EGF-like domain close to the cell surface and cause uncontrolled activation of HER3 on the adjacent cells in a juxtacrine fashion or HER3 on the same cell in an autocrine fashion (2).
There are several ways to treat NRG1 fusion tumors and limiting the activity of HER2-HER3 heterodimer is to be an effective approach (1). In a report of two patients with NRG1 fusion–positive solid tumors, Afatinib, a tyrosine kinase inhibitor, demonstrated durable responses (3) and in a recent study of 107 cancer patients with NGR1 fusions, Afatinib therapy shown some evidence of activity (4). Seribantumab is a recently developed fully human monoclonal antibody directed against HER3. Targeting HER3 with Seribantumab showed longer-lasting and complete tumor shrinkage in other cancer models with NRG1 fusion (5). Seribantumab is currently being tested on clinical trials and is a promising candidate for patients with solid tumors with NRG1 fusions.
References
- Zhang C, Mei W, Zeng C. Oncogenic Neuregulin 1 gene (NRG1) fusions in cancer: A potential new therapeutic opportunities Biochim Biophys Acta Rev Cancer. 2022 May;1877(3):188707. PMID: 35247506
- Laskin J, Liu S, Tolba K. et al. NRG1 fusion-driven tumors: biology, detection, and the therapeutic role of afatinib and other ErbB-targeting agents. Ann Oncol. 2020 Dec;31(12):1693-1703. PMID: 32916265
- Gay N, Wang Y, Beadling, et al. Durable Response to Afatinib in Lung Adenocarcinoma Harboring NRG1 Gene Fusions. J Thorac Oncol. 2017 Aug;12(8):e107-e110. PMID: 28502724
- Gajra A, Klink A, Kaufman J. et al. A real-world feasibility study of patients with solid tumours harbouring NRG1 gene fusions. https://doi.org/10.1016/j.annonc.2020.08.1348
- Drilon A, Somwar R, Mangatt B. et al. Response to ERBB3-Directed Targeted Therapy in NRG1-Rearranged. Cancer Discov. 2018 Jun;8(6):686-695. PMID: 29610121